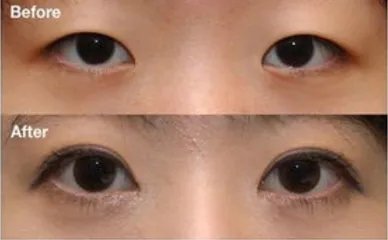
韩式翘睫双眼皮优点
的有关信息介绍如下:双眼皮可以使爱美者的眼睛看起来更加大而有神,所以一些天生单眼皮的人就想选择韩式翘睫双眼皮手术来使自己更加有魅力,术后爱美者可以获得理想的双眼皮,眼部线条更加优美,面部五官比例更加协调,是效果比较好的一种双眼皮方式。想要在术后获得良好效果,建议爱美者选择一些正规的三甲整形医院进行韩式翘睫双眼皮手术。

韩式翘睫双眼皮的优势特点
1、个性化设计 量身定做
根据不同的眼型,综合脸型及其他部位,设计重睑线,术后爱美者的眼部线条优美,睫毛上翘,眼睛看起来更加的有神韵。
2、自然美观、外双无痕
韩式翘睫双眼皮术,结合国际化尖端微创技术,大大减少对求美者眼部的伤害,综合处理眼部其他部位,去皮、去脂、开内眦等手术效果更加自然、美观。
建议爱美者选择一家正规的三甲医院进行韩式翘睫双眼皮手术,可以在很大程度上保障手术的安全以及术后的效果。在手术之前,爱美者应该清洁面部,手术当天不要化妆,以免影响整形医生判定准确的手术方案。术后一周之内不要让手术部位沾水,避免吃一些辛辣刺激食物,以免发生感染,影响术后良好效果呈现。



